
La cirugía de los huesos faciales se podría definir como la intervención dirigida a la corrección de la posición, forma y dimensiones de estos, con el fin de mejorar la estética facial y corregir e instaurar una buena oclusión.
Es frecuente en aquellos pacientes que padecen una deformidad facial, presentada también como maloclusión, dificultad masticatoria y, en ocasiones, fonatoria y una importante tendencia a los problemas de la articulación temporomaxilar.
Mediante la corrección de la posición de los huesos faciales, conseguimos una mayor estética y armonía facial, además de mejorar la salud del paciente logrando una buena oclusión que permita la correcta masticación, fonación y la mejora de la patología de la articulación temporomaxilar.
Paciente que cursa con prognatismo mandibular acompañado de maxilar superior plano; se observa la ausencia completa de proyección de los huesos malares, la tendencia a la esclera aparente y la incompetencia del labio superior.
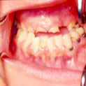
En la imagen intraoral se confirma el prognatismo mandibular, una oclusión en clase 3. Mordida de borde a borde con cierta asimetría en la que se aprecia una desviación de la línea media de casi dos o tres milímetros hacia la izquierda.
Perfil postoperatorio donde se ha efectuado, a través de un abordaje intraoral, la colocación de dos prótesis de malar y su fijación con microtornillos de titanio. Además, en la misma intervención, se realizó una osteotomía sagital mandibular retruyendo en tres milímetros la posición del a mandíbula. Son de resaltar los cambios observados en las partes blandas, la proyección de los pómulos, la corrección de las ojeras y la estabilidad estética del mentón.
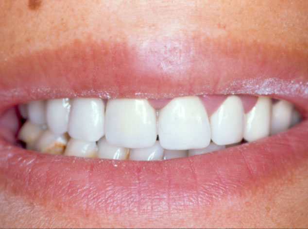
Imagen intraoral del resultado final obtenido después de la cirugía de la osteotomía de Obwegeser, en la que se retruyó la mandíbula aproximadamente tres milímetros; se aprecia la oclusión estable y la corrección de la asimetría que presentaba previamente la paciente.
Imágenes comparativas en las que se aprecia el balance estético entre los dos tercios faciales, segundo tercio y tercer tercio. Se puede valorar cómo con las prótesis de malar se han logrado una mayor proyección del segundo tercio facial y, sobre todo, la corrección de esa imagen de depresión periorbitaria de la paciente. Además, al haber retruído la mandíbula, se ha conseguido ganar una mayor armonía facial y una mayor estética en la sonrisa.
Paciente que cursa con prognatismo mandibular acompañado de maxilar superior plano; se observa la ausencia completa de proyección de los huesos malares, la tendencia a la esclera aparente y la incompetencia del labio superior.
En la imagen intraoral se confirma el prognatismo mandibular, una oclusión en clase 3. Mordida de borde a borde con cierta asimetría en la que se aprecia una desviación de la línea media de casi dos o tres milímetros hacia la izquierda.
Perfil postoperatorio donde se ha efectuado, a través de un abordaje intraoral, la colocación de dos prótesis de malar y su fijación con microtornillos de titanio. Además, en la misma intervención, se realizó una osteotomía sagital mandibular retruyendo en tres milímetros la posición del a mandíbula. Son de resaltar los cambios observados en las partes blandas, la proyección de los pómulos, la corrección de las ojeras y la estabilidad estética del mentón.
Imagen intraoral del resultado final obtenido después de la cirugía de la osteotomía de Obwegeser, en la que se retruyó la mandíbula aproximadamente tres milímetros; se aprecia la oclusión estable y la corrección de la asimetría que presentaba previamente la paciente.
Imágenes comparativas en las que se aprecia el balance estético entre los dos tercios faciales, segundo tercio y tercer tercio. Se puede valorar cómo con las prótesis de malar se han logrado una mayor proyección del segundo tercio facial y, sobre todo, la corrección de esa imagen de depresión periorbitaria de la paciente. Además, al haber retruído la mandíbula, se ha conseguido ganar una mayor armonía facial y una mayor estética en la sonrisa.