
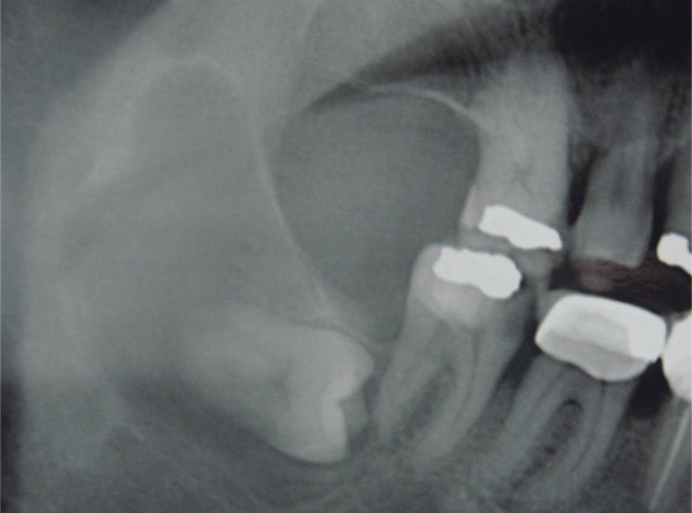
Aunque su estirpe anatomopatológica sea benigna, son quistes que en algunos pacientes provocan grandes destrucciones maxilares, porque crecen de forma asintomática durante años.
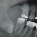
Su cirugía es sencilla y está basada en la extracción del quiste con criterios conservadores, y en la reconstrucción del defecto creado por la limpieza quirúrgica.
Para la reconstrucción, aconsejamos hacerlo en la misma intervención y con las bases de ingeniería tisular de la regeneración ósea guiada. Utilizamos como material óseo inductor el fosfato tricálcico tipo beta, mezclado con sangre del paciente y protegido con membrana de regeneración reabsorbible.