
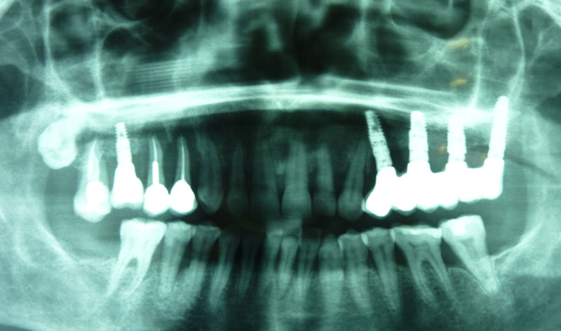
Se trata de una intervención que se efectúa bajo anestesia local. Está indicada en aquellos casos que requieren la colocación de implantes en el área posterior del maxilar superior donde el paciente no tiene el hueso suficiente para asegurar la fijación de los implantes.
Procedimiento: se realiza una incisión en la encía, se aborda el hueso maxilar superior realizando una pequeña apertura en el margen externo del maxilar, y se introduce un cemento formado por el propio hueso y sangre del paciente, y un material óseo conductor, que proporciona una serie de condiciones básicas para la formación de hueso.
Una vez realizada la intervención, en algunos casos se pueden colocar los implantes a la misma vez y en otros, es necesario esperar seis meses para que el material óseo forme un hueso con buena calidad que asegure el éxito de los implantes.