
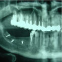
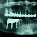
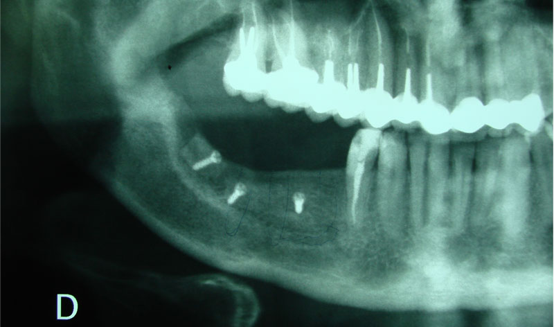
Son injertos del propio paciente extraídos del mentón o rama ascendente, destinados a aumentar la anchura del hueso indicados en maxilares con achura inferior a los dos milímetros.
Se deben fijar siempre con tornillos de 1.2 o 1.6 mm de osteosíntesis.
Terminada la reconstrucción ósea, es necesario esperar de 3 a 6 meses para la colocación de los implantes