
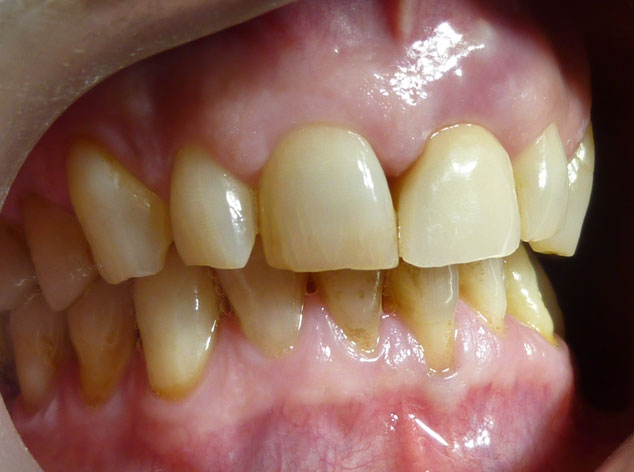
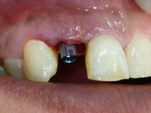
Es una técnica, pero sobre todo es una filosofía de trabajo. Ha sido descrita y registrada por nosotros y esta basada en un hecho sencillo, pierdes un diente o extraemos el diente enfermo y problemático, y en la misma sesión, el mismo día colocamos el diente nuevo con una mejora de la estética evidente.
Hasta hace poco tiempo cuando había que extraer un diente, era necesario esperar 2 o 3 meses para colocar el implante, se colocaba el implante y había que esperar otros 3 o 5 meses para poner la corona o diente, en esos 5 u 8 mese el paciente estaba con una incomodísima prótesis removible.
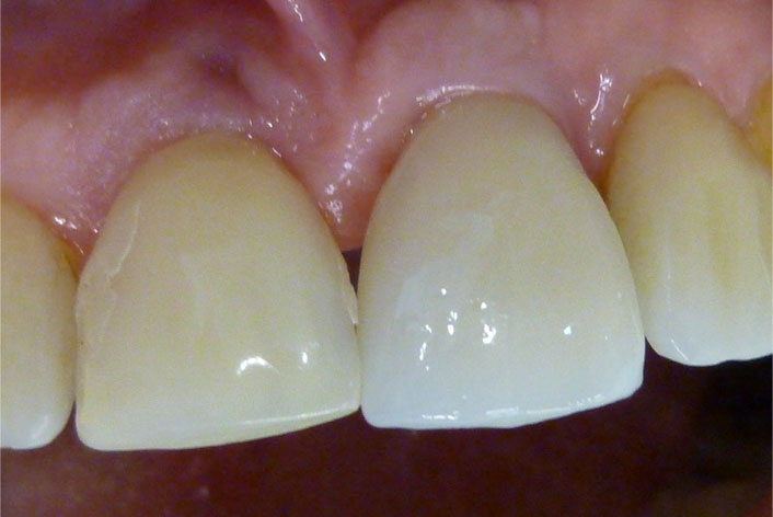
All-at-once, te asegura mejor estética y función en una sesión, en un día, en contra de los 8 largos meses.
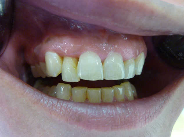
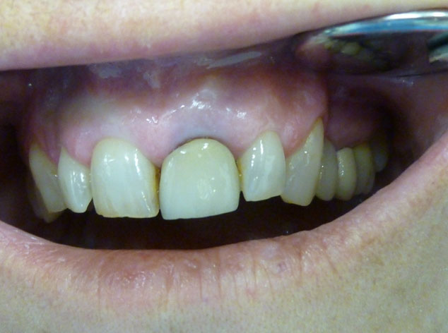
En estos casos han sido tratados con la filosofía de all-at-once, en la
misma sesión:
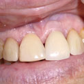
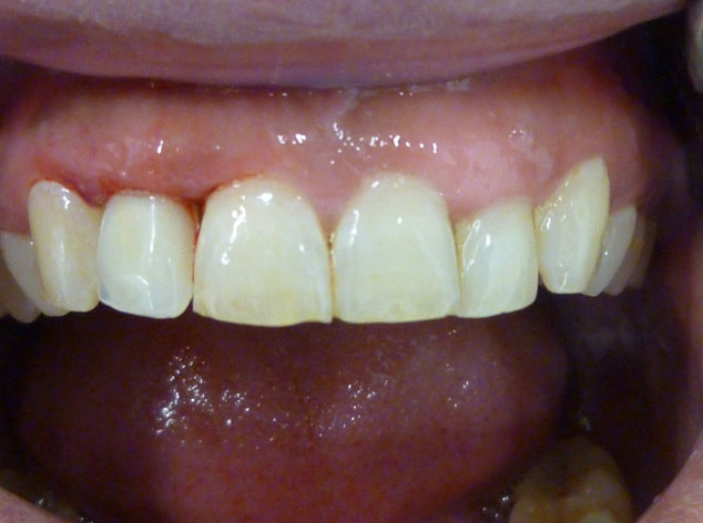
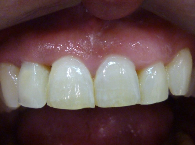
En estos casos han sido tratados con la filosofía de all-at-once, en la
misma sesión: